Problemas dentales - Dra. Elena Martínez Madero
Problemas Dentales
La ortodoncia (alineadores y brackets) en el adulto puede favorecer la realización de otros tratamientos, como prótesis, implantes o periodoncia.
A veces es necesario realizar un tratamiento de ortodoncia para luego poder poner implantes, para hacer espacio para colocar una prótesis o como tratamiento preventivo de la enfermedad periodontal. Por ejemplo, unos dientes demasiado juntos (apiñamiento) pueden provocar inflamación de encías(gingivitis). El alineamiento de esos dientes con ortodoncia disminuye la inflamación de la encía y por tanto mejora la salud gingival.
Los problemas más frecuentes que existen son:
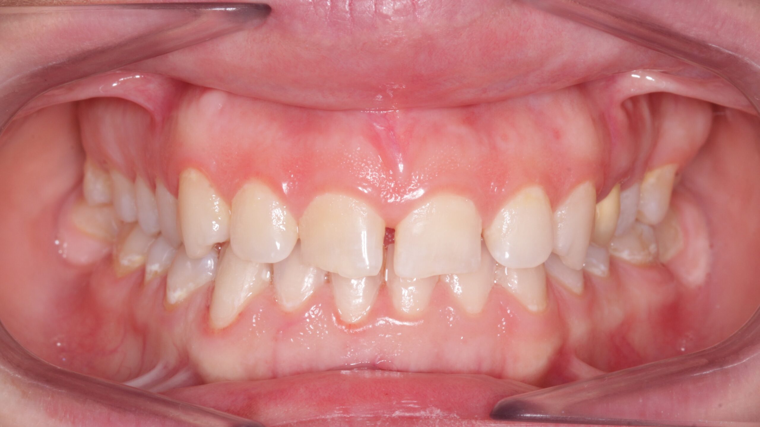
Apiñamiento: Se trata de un problema de espacio, hay poco espacio y dientes muy grandes por lo que no caben en la boca y se amontonan unos encima de otros. Pueden producir problemas estéticos, e incluso dañar la salud de encías, produciendo inflamación e incluso sangrado de las mismas y pudiendo desembocar en la enfermedad periodontal. Su tratamiento se puede realizar con brackets y/o alineadores.
Diastemas: Se trata de un problema de espacio, hay mucho espacio y dientes muy pequeños por lo que sobra espacio en la boca y se observan huecos entre los dientes. Pueden producir problemas estéticos. Su tratamiento es relativamente sencillo pudiéndose realizar con brackets y/o alineadores. Muchas veces se puede plantear realizar también un tratamiento estético posterior a la ortodoncia para dar forma a los dientes si es necesario.
Otros: Clases II , III , Mordida abierta, sobremordida, mordida cruzada, mordida en tijera, agenesias y/o supernumerarios y dientes incluidos. (Ver parte de tratamiento infantil para su descripción)*



