Mordida Abierta - Dra. Elena Martínez Madero
Mordida Abierta
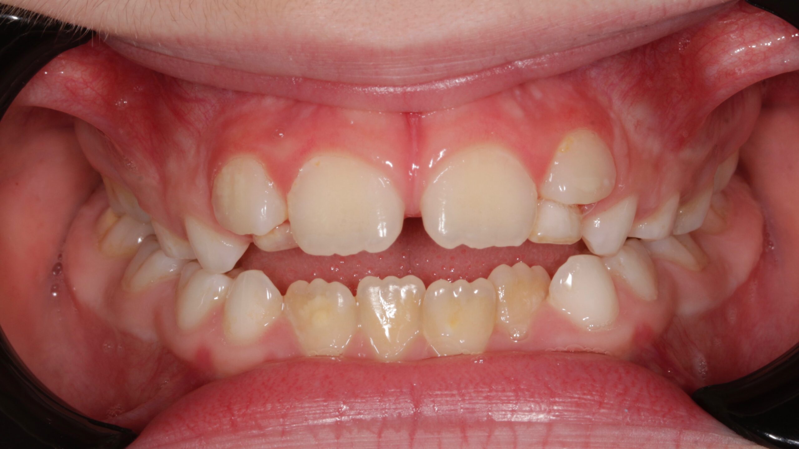
Es un problema en el que la cara es muy alargada, normalmente el hueso maxilar es más largo y la mandíbula crece verticalmente. A veces puede verse mucha encía cuando sonríe el paciente. Los dientes de arriba y los dientes de abajo pueden no contactar. Si no se trata a tiempo se puede desarrollar un problema que es más difícil de tratar en adultos pudiendo ser necesario incluso una cirugía (ver cirugía ortognática).
¿Cómo sé si mi hijo presenta este problema?
Los dientes de arriba y de abajo no contactan. A veces este problema se asocia a ronquidos y respiración oral (el paciente no cierra los labios ), y a problemas de deglución infantil (el paciente traga interponiendo la lengua entre los dientes). También puede haber problemas de fonación asociados, como una mala pronunciación de la R, S ( seseos) o C y Z.
¿Por qué aparece?
Hay múltiples causas, pero las más conocidas son: – Succión del dedo. – Succión del chupete prolongada ( mas de 2-3 años). – Lengua baja- frenillo lingual corto. – Mala estructura ósea del maxilar . – Respiración oral. – Amígdalas y adenoides hipertróficas. – Deglución disfuncional o infantil ( traga metiendo la lengua entre los dientes).
¿Cómo se trata?
- Quitando hábitos que interfieran en el desarrollo del maxilar, como chupete o succión del dedo.
- Revisando la estructura bucal por si no tuviera la forma correcta. En ese caso seria necesario usar algún aparato de ortodoncia que nos ayudara a recuperar dicha forma.
- Revisando por el otorrino que las estructuras respiratorias están correctas, adenoides y amígdalas.
- Ademas será necesario evaluar por logopeda miofuncional para ayudar a la recuperación de una correcta función labial y lingual así como para mejorar la pronunciación si fuera necesario.
