Deglución infantil - Dra. Elena Martínez Madero
Deglución Infantil
Una mala función de la deglución (tragar), el niño interpone la lengua o contrae músculos no necesarios durante la deglución.
¿Como sé si mi hijo presenta este problema?
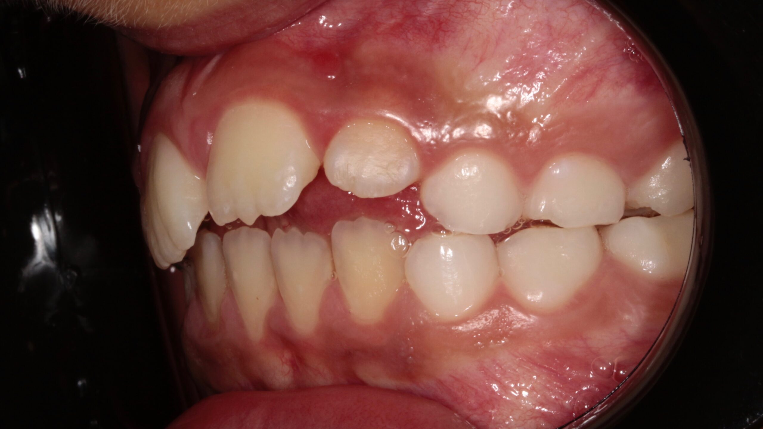
Cuando tu hijo/a traga saliva o comida, mete la lengua entre los dientes y hace fuerza con los labios para cerrarlos. La deglución debería ser con la punta de la lengua en el paladar, los labios sellados sin esfuerzo y la lengua no debería meterse entre los dientes. A veces podemos observar que los dientes de arriba y de abajo no contactan (mordida abierta) debido a la interposición de la lengua.
¿Por qué aparece?
- Hábitos: Succión prolongada del dedo o del chupete, una mala función de la lengua, frenillo lingual corto…
- Problemas en la estructura de los maxilares: Un maxilar estrecho que no permite que la lengua se coloque bien para tragar.
¿Cómo se trata?
- Rehabilitando la función y corrigiendo hábitos: el logopeda miofuncional ayudará a la recuperación de una correcta función labial y lingual.
- Tratando las estructuras óseas y dentales afectadas: El ortodoncista debe revisar la estructura bucal por si no tuviera la forma correcta. En ese caso seria necesario usar algún aparato que nos ayudara a recuperar dicha forma. Ademas será necesario evaluar si se ha producido problemas en la mordida ( mordida abierta) que favorecen que la lengua continue posicionándose mal. Para ello serán necesarios aparatos ortodóncicos u ortopédicos.

